Children’s Hospital of Mexico “Federico Gómez”, Mexico
Orthodontics Department, Children's Hospital of Mexico “Federico Gómez”, Mexico
* Corresponding author
Children’s Hospital of Mexico “Federico Gómez”, Mexico
Children’s Hospital of Mexico “Federico Gómez”, Mexico
Children’s Hospital of Mexico “Federico Gómez”, Mexico
Children’s Hospital of Mexico “Federico Gómez”, Mexico
NationalAutonomous University of Mexico, UNAM, Mexico
National Autonomous University of Mexico, UNAM, Mexico
National Autonomous University of Mexico, UNAM, Mexico

Article Main Content

Introduction: Meier-Gorlin syndrome (MGS) has three characteristics: short stature, a small or absent patella, and microtia.

Objective: This case report aimed to evaluate orthodontic surgical treatment in a patient with MGS during a 7-year follow-up.

Methods: A multidisciplinary approach was performed involving orthodontics and maxillofacial surgery. In the initial phase, orthodontic procedures were performed using rapid expansion of the mid-palatal suture. Orthodontic appliances (Roth prescription) were used and orthodontic decompensation was performed, followed by orthodontic surgery to make aesthetic and functional changes.

Results: Surgical orthodontic treatment reduced proclination and protrusion and improved overbite. An adequate correlation of the upper and lower arches was achieved. Aesthetic and functional changes were observed, as well as the opening of the airways.

Conclusion: This case report highlights the importance of orthodontic surgical correction to achieve symmetry and functionality, given the facial and physical characteristics present in this syndrome.

Introduction

MGS is characterized by short stature, an absent or small patella, and bilateral microtia [1], [2]. At least two of these clinical features are present in most patients with GMS and may be inherited in an autosomal recessive or autosomal dominant pattern [2], [3]. The first cases of MGS were reported between 1959 and 1975. More than 70 cases have been described [4], [5]. Epidemiological data on the exact incidence and prevalence of MGS are still lacking. However, it is estimated that between 1 and 9 per million are affected [6]–[8]. The etiology associated with this syndrome involves mutations in the ORC1 gene located on chromosome 1p32. This gene encodes subunit 1 of the origin recognition complex, which is important for the initiation of DNA replication [9], [10]. Clinically, MGS is characterized by severe intrauterine and postnatal growth retardation, bilateral microtia and patella hypoplasia. In patients with short stature and microtia, the diagnosis of MGS should be considered, but a thorough examination of the patella is necessary. Ultrasound is recommended in children aged 5 to 6 years. The patella is radiolucent and cannot be seen on conventional radiographs [3]. Malformations of the head and neck in MGS include microcephaly, a high forehead, micrognathia, voluminous lips, a small mouth, prominent nasolabial folds, and a high nasal bridge. At the oral level, this syndrome consists of skeletal class II, micrognathia, mandibular retrognathia, severe vertical growth, increased incisal edge, lateral collapse, and dental malocclusion. In addition to alveolar protrusion, fibrotic ankylosis, reduced mouth opening, cleft palate, ankyloglossia, and dental caries have also been observed [11]. The purpose of this case report was to describe the surgical orthodontic treatment of a patient with SMG with a 7-year follow-up and to contribute to the knowledge and clinical management of this complex genetic disorder.

Presentation of the Case

An 11-year-old male patient was admitted to Federico Gómez Children’s Hospital. He was referred to the Department of Genetics and then to the Department of Orthodontics. The reason for the patient’s visit was as follows: “I want to be able to close my mouth and not have misaligned teeth”. Genetic diagnosis revealed the presence of MGS. There was a family history and consanguinity between the parents (cousins and first cousins). Clinical evaluation revealed the following characteristics associated with MGS: small eyebrows, oblique eyes, bilateral microtia, raised nasal bridge, prominent nasolabial folds, mouth breathing, severe mandibular hypoplasia, maxillary dentoalveolar protrusion, dysphagia, and sleep disorders (Fig. 1). Informed consent was obtained from the child’s parents for the orthodontic-surgical treatment plan. Specific facial, skeletal and dental diagnoses are listed in Table I.

Fig. 1. Initial photos: a) anterior extraoral, b) anterior extraoral smile, c) right lateral extraoral, d) anterior intraoral, e) upper occlusal intraoral, and f) lower occlusal intraoral.

Sagittal Vertical Transverse
Facial Convex profile Stomion to incisal edge 10 mm
Infraorbital and paranasal depression
Lower retrochelia
Mentocervical distance decreased
Skeletal Skeletal class II Vertical growth Severe anterior and posterior
Mandibular retrusion Severe excess of maxillary height maxillary and mandibular
Severe deficiency in the length of the mandibular body Lower rotation of the occlusal, mandibular, and palatal plane compression
Branch height decreased
Dental Upper and lower dentoalveolar proclination Increased superior anterior dentoalveolar height
Mandibular dentoalveolar protrusion Overbite 1 mm
31 and 32 merged
Canine and molar class II malocclusion
Overjet 8 mm
Table I. Facial, Skeletal and Dental Diagnosis in Sagittal, Vertical and Transverse Directions

Planning Orthodontic-Surgical Treatment

First Stage: Orthopedic Phase

For orthopedic treatment, two rapid expansion devices for the mid-palatal suture were used:

  1. A Hyrax-McNamara screw expansion device was used. The parallel expansion was 7 mm. For 14 days, activation was performed twice daily.
  2. A Hyrax-McNamara screw was used with a 9 mm parallel expansion, activated twice a day, in the morning and the afternoon, for 12 days. The result was a 13 mm palatal disjunction with retention for 3 months.

Second Stage: Active Phase

Preoperative orthodontic planning for decompensation was performed during the active phase of treatment. An analysis of all clinical and radiographic data obtained at the diagnosis stage was carried out. In addition, the patient was placed in a semi-adjustable articulator. A cephalometric analysis was performed for precise planning.

Surgical Procedure

A study model set-up was performed that involved tooth removal (14, 24, 31, 42, and 42) to correct for lack of space and malocclusion. The bone discrepancy was eliminated using this strategy. In addition, a selective ameloplasty was performed on teeth 33 and 43. This was done to optimize the aesthetic and functional harmony of the stomatognathic system.

The following arch sequence was used to place the Roth Slot 0.022″ appliance in the maxilla and mandible:

  • 0.014″ NiTi: Alignment and levelling
  • 0.016″ NiTi: To continue aligning and leveling by inserting lingual buttons: 36, 37, 46 and 47 for verticalization, with the application of crossed elastics (6 ¼ oz)
  • 0.016″ × 0.022″ NiTi: Alignment and leveling
  • 0.017″ × 0.025″ SS: Space closing
  • 0.019″ × 0.025″ SS: Crimp post placement

After orthodontic decompensation, adequate correlation was achieved with an overjet of 11 mm and an overbite of 3 mm, and then orthognathic surgery was performed, under balanced general anesthesia with fibroscope-guided intubation to avoid airway complications and reduce the morbidity associated with this syndrome. The following surgical procedures were performed:

Le Fort I osteotomy: A 5 mm mandibular intrusion was performed with a mandibular response. Surgical planning was performed considering a previous cephalometric prediction and performing the procedure (Figs. 2a, 2b).

Fig. 2. Presurgical photographs: a) Frontal extraoral at rest, b) Frontal extraoral smile, c) right lateral extraoral, d) right overbite, e) frontal overbite, f) left overbite, g) intraoral superior occlusal, and h) intraoral lower occlusal.

OSRAM: This surgical procedure was performed to advance the mandible by 7 mm and to rotate the body of the mandible in a counterclockwise direction, with an open posterior bite of 3 mm to achieve a greater projection of the chin (Fig. 3c).

Fig. 3. Cephalometric prediction: a) Le Fort I maxillary osteotomy for anterior intrusion and mandibular response, b) OSRAM for advancement and counterclockwise rotation of the mandibular body.

A mentoplasty was performed to achieve a 6 mm advancement of the mandible (Fig. 3d).

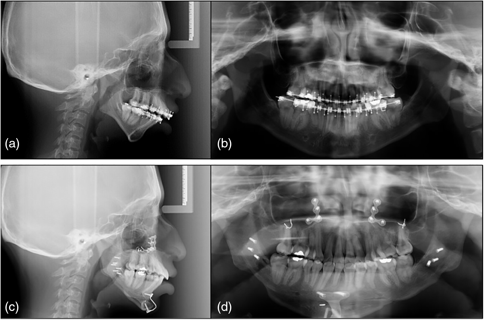
Postoperative: For one week after surgery, the patient wore a splint, as well as class II elastics (from the upper canine to the first lower molar) with a resistance of 6 1/4 oz. A follow-up radiograph was obtained one week after surgery, including lateral, panoramic, and postero-anterior cephalometry (Fig. 4).

Fig. 4. Orthognathic surgery a) Lefort I osteotomy, b) Intermediate splint placement, c) OSRAM to advance and rotate counterclockwise the mandible body, and d) Advancement menthoplasty with iliac crest graft.

Orthodontic treatment continued for eight weeks after surgery. The surgical arches were removed, and the appliances were reapplied at this stage. The sequence of the arches that were used was as follows:

  • 0.018″ NiTi: For the release phase
  • 0.017″ × 0.025″ Lower turbo wire: To finish and seat the appliance

The appliances were then completely removed, and the occlusion was selectively adjusted to achieve the optimal function of the masticatory system and to guide the mutually protecting incisors and canines (Fig. 5). Stability was achieved with removable circumferential upper and lower Hawley retainers, supplemented with acrylic protection.

Fig. 5. Lateral radiograph of the skull: a) Preoperative, b) Postoperative. Panoramic radiograph c) preoperative, and d) postoperative.

Discussion

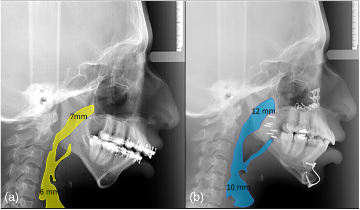
The clinical triad observed in 80% of SMG patients and consanguinity in this case support the diagnosis of this rare autosomal recessive disorder [3]–[5]. A multidisciplinary team including genetics, craniofacial surgery, gastroenterology, nutrition, neurology, otolaryngology, phonology, pediatric dentistry, maxillofacial surgery and orthodontics was formed to treat this patient. In the case of orthodontics and maxillofacial surgery, the goals were focused on improving function and aesthetics. The severe transverse collapse was solved. The airway was improved by palatal expansion. To achieve better and more predictable results, preoperative cephalometric planning was performed (Fig. 2). Preoperative decompensation was achieved using an articulating device (Fig. 6). Furthermore, the facial profile was improved using advanced mentoplasty (Figs. 5, 7). Changes in preoperative and postoperative cephalometric measurements are shown in Table II. Significant results were achieved at both the facial and the skeletal levels. The ameloplasty and the bite adjustment provided a canine guide and functional incisors that helped open the airway (Fig. 8). Our results reflect the efficacy of orthodontic treatment and surgical procedures in improving the function and aesthetic appearance of the patient. The need for continued research in this area to improve the understanding and clinical management of this unique population is highlighted by the lack of data on the prevalence of dentofacial disease in patients with GMS [5]. This case report is consistent with those reported in other articles showing the clinical trial of GMS, evidenced by facial and dental features such as mandibular retrognathism, deep palate, dental malocclusion, and dental fusion [10]–[12].

Fig. 6. Final photographs: a) Frontal extraoral rest, b) smile, c) lateral right extraoral, d) overbite, e) intra-frontal, f) overbite, g) upper occlusal intra-oral, h) lower occlusal intraoral, g) upper occlusal intraoral, and h) lower occlusal intraoral.

Fig. 7. Superimpositions: a) The facial axis is projected at 10°, b) Point A is intruded (qx), and c) The incisors maintain their inclination and the molar is mesialized.

Measure Presurgical Postsurgical
Angle convexity 27° 17°
Stomion incisal edge 7 mm 3 mm
SNA 80° 80°
SNB 66° 72°
FH-MD 49° 44°
I-PL. PALATINE 121° 119°
IMPA 91° 91°
PROF. MX 90° 90°
PROF. MD 72° 82°
FACIAL AXIS 69° 80°
LONG. CPO. MD. 48 mm 56 mm
Table II. Presurgical and Postsurgical Cephalometry

Fig. 8. Comparison of the airway a) preoperative and b) postoperative.

Conclusions

Despite the low prevalence of SGM worldwide, it is important to offer these patients the benefits of surgical and orthodontic procedures to achieve symmetry and functionality of the stomatognathic system to improve their quality of life. Treatment of MSG must begin at birth, which requires diagnosis. Orthodontics and surgery can improve aesthetic and functional needs.

References

  1. Nazarenko MS, Viakhireva IV, Skoblov MY, Soloveva EV, Sleptcov AA, Nazarenko LP. Meier-gorlin syndrome: clinical misdiagnosis, genetic testing and functional analysis of ORC6 mutations and the development of a prenatal test. Int J Mol Sci. 2022 Aug 17;23(16):9234. doi: 10.3390/ijms23169234.
     Google Scholar
  2. Reserved IU-AR. Orphanet: Ear patella short stature syndrome. n.d.. Available from: https://www.orpha.net/consor/cgibin/OC_Exp.php?lng=EN&Expert=2554. (accessed November 25, 2023).
     Google Scholar
  3. de Munnik SA, Hoefsloot EH, Roukema J, Schoots J, Knoers NVAM, Brunner HG, et al. Meier-Gorlin syndrome. Orphanet J Rare Dis. 2015;10:114. doi: 10.1186/s13023-015-0322-x.
     Google Scholar
  4. Faqeih E, Sakati N, Teebi AS. Meier-Gorlin (ear-patella-short stature) syndrome: growth hormone deficiency and previously unrecognized findings. Am JMed Genet A. 2005;137A:339–41. doi: 10.1002/ajmg.a.30899.
     Google Scholar
  5. Loeys BL, Lemmerling MM, Van Mol CE, Leroy JG. The Meier-Gorlin syndrome, or ear-patella-short stature syndrome, in sibs. Am J Med Genet. 1999;84:61–7.
     Google Scholar
  6. Bicknell LS, Walker S, Klingseisen A, Stiff T, Leitch A, Kerzendorfer C, et al. Mutations in ORC1, encoding the largest subunit of the origin recognition complex, cause microcephalic primordial dwarfism resembling Meier-Gorlin syndrome. Nat Genet. 2011;43:350–5. doi: 10.1038/ng.776.
     Google Scholar
  7. de Munnik SA, Bicknell LS, Aftimos S, Al-Aama JY, van Bever Y, Bober MB, et al. Meier-Gorlin syndrome genotype-phenotype studies: 35 individuals with pre-replication complex gene mutations and 10 without molecular diagnosis. Eur J Hum Genet. 2012;20:598–606. doi: 10.1038/ejhg.2011.269.
     Google Scholar
  8. Bicknell LS, Bongers EMHF, Leitch A, Brown S, Schoots J, Harley ME, et al. Mutations in the pre-replication complex cause Meier- Gorlin syndrome. Nat Genet. 2011;43:356–9. doi: 10.1038/ng.775.
     Google Scholar
  9. Shen Z. The origin recognition complex in human diseases. Biosci Rep. 2013;33:e00044. doi: 10.1042/BSR20130036.
     Google Scholar
  10. Morankar RG, Goyal A, Gauba K, Kapur A. Dentofacial characteristics in a child with Meier-Gorlin syndrome: a rare case report. Saudi Dent J. 2018;30:260–4. doi: 10.1016/j.sdentj.2018.04.004.
     Google Scholar
  11. Ting CY, Bhatia NS, Lim JY, Goh C-YJ, Vasanwala RF, Ong CC-P, et al. Further delineation of CDC45-related Meier-Gorlin syndrome with craniosynostosis and, The expanding genetic and clinical landscape associated with Meier-Gorlin syndrome. Eur J Hum Genet. 2023;31:859–68. doi: 10.1038/s41431-023-01359-z.
     Google Scholar
  12. Ting CY, Bhatia NS, Lim JY, Goh C-YJ, Vasanwala RF, Ong CC-P, et al. Further delineation of CDC45-related Meier-Gorlin syndrome with craniosynostosis and review of literature. Eur J Med Genet. 2020;63:103652. doi: 10.1016/j.ejmg.2019.04.009.
     Google Scholar